xCAT IQ (CBCT)
CBCT-scanner til neurokirurger og intensivafdelinger
Mobil CT-scanner til operationsstuen
Med xCAT IQ får du CT-scanninger i diagnostisk kvalitet direkte på operationsstuen.
Slip for at sende patienten til røntgenafdelingen og spar tid
Når du har brug for CT-billeder i forbindelse med en operation, triller du scanneren hen til patienten og scanner hende. Det tager under et minut, og du får billederne med det samme.
Hjulene er letkørende og scanneren fylder så lidt, at den kan stå permanent på OP-stuen.
Giv en lav stråledosis, uden at gå på kompromis med billedkvaliteten
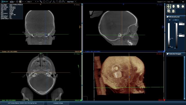
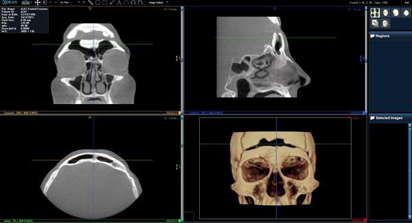
xCAT IQ er en cone beam-scanner og patienten udsættes for en ultralav stråledosis.
På trods af den lave dosis får du detaljerede billeder i høj kvalitet af fx hjerne, bihuler, kraniebase, ører og kraniomaxillofaciale skader.
Softwaren er let at bruge, og det store gantry roterer 360 grader om patientens hoved. Det giver mere og bedre data.
Tid er afgørende. Med xCAT IQ kan du: <
- få bekræftet positionen af implantater
- undgå at vente på en traditionel CT-scanning
- udføre intraoperative justeringer med det samme
- evaluere og justere cochlear implantater direkte på operationsstuen
- hurtigt få postoperative billeder og undgå, at patienten skal på operationsbordet igen senere

Mobil CT-scanner til intensivafdelinger
Forestil dig en mobil CT-scanner, du hurtigt kan trille hen til intensivpatientens seng. Få minutter senere har du en scanning, der viser status på patientens tilstand. Det kan du med xCAT IQ.
Få svar på få minutter
Sker der en akut neurologisk ændring i patientens tilstand, har du brug for at vide, om det er en intrakraniel blødning, et cerebralt ødem eller måske hydrocephalus. Du kan få svar på få minutter.
Du undgår at transportere skrøbelige intensivpatienter over på røntgenafdelingen. Rul i stedet CT-scanneren ind på stuen, og spar afgørende tid tid.
xCAT IQ giver nøjagtig, klinisk information, så du hurtigt kan vurdere prognoser og planlægge yderligere behandling.
Ultralav stråledosis gør scanneren god til pædiatri
Scanneren er særligt velegnet til pædiatriske intensivpatienter, hvor tid og dosisbesparelse er afgørende faktorer.
Relaterede produkter
xCAT IQ (CBCT)
Varenr.
50,00 DKK



