MagniView gastro- og koloskoper
Fuld HD gastroskop med 165x optisk zoom
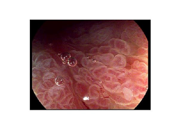
Med Pentax’ nye, unikke MagniView gastro- og koloskoper får du et fantastisk billede i fuld HD+-opløsning med en trinløs optisk 165x zoomfunktion (146x i kombination med en 26" monitor og 165x i kombination med en 32" monitor). I kombination med i-scan sættes en helt ny standard for den daglige praksis, når det gælder mulighederne for at stille den rigtige diagnose.
MagniView er bygget på Pentax’ 90-serie og er i bund og grund et helt almindeligt skop med den samme ydre diameter som standard diagnostiske endoskoper – bare med zoomskopets nye muligheder. Skopet har 90-seriens gode ergonomi, er let at positionere og har en let anvendelig zoomfunktion, som betjenes fra drejehåndtaget via tommelfingeren.
Læs mere om produktet her:
Oversigt over dimensioner (diameter, arbjedskanal, længde, synsvinkel)
Relaterede produkter
MagniView gastro- og koloskoper
Varenr. EC‑3890Zi
35,00 DKK
Har du spørgsmål?
Bliv ringet op af en produktspecialist.
Vi passer på dine personoplysninger. Læs vores persondatapolitik for at se, hvordan vi behandler dine personoplysninger, og hvilke rettigheder du har.





